| 港大深圳医院心外科团队成功“拆弹”,保母子平安-新闻中心-香港大学深圳医院
 
         
      险!孕21周突发主动脉夹层 | 港大深圳医院心外科团队成功“拆弹”,保母子平安
准妈妈孕21周
突发主动脉夹层
生死一线
主动脉一旦破裂
母子生命堪忧
所幸,她遇到了这样一群专家医生
为她成功“拆弹”
保母子平安
现在,这位妈妈已顺利出院
静待宝宝的诞生……
                    
                
                     
                
命悬一线
孕21周突发主动脉夹层
         
    
        
    
         
    
                     
                
“决堤之水”
主动脉夹层随时“引爆”
                        
                    
妊娠合并主动脉夹层在临床上非常罕见,单纯主动脉夹层的死亡率极高,妊娠合并主动脉夹层,在发病的首个24小时内,死亡率可达50%以上,并随着时间的延长进一步增加。小蕾的情况如果不及时处理,主动脉就会进入“炸弹随时引爆”的状态,一旦发生爆炸,血液从主动脉破口涌入胸腔,造成大出血,失去救治机会。
——心血管医学中心、心脏大血管外科主任 魏民新教授
                     
                
争分夺秒
多学科联动保母子平安
    
     
    
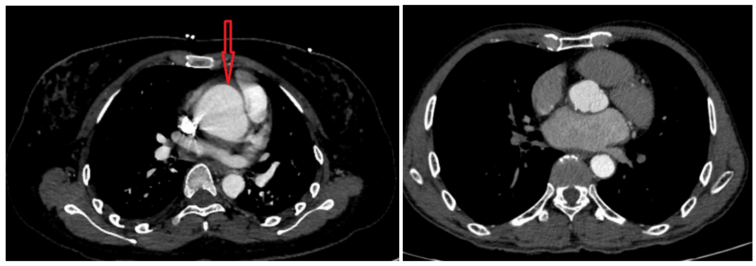
箭头所示即主动脉破口
一定要做好孕前检查,注意孕期血压,特别是在怀孕中后期,妊娠高血压发病率升高,如控制不好将直接增加主动脉夹层的发病风险。孕妇夹层风险更高,一定要尽早手术,替换病变血管,才能尽早挽救孕妇及胎儿生命。
    
 
									微信公众号
 
									智慧医院
© 2014 香港大学深圳医院 版权所有
						 备案号
						
							粤ICP备13014042号-1
              备案号
						
							粤ICP备13014042号-1
						
					
 
          


