成功“拆弹”!港大深圳医院完成罕见巨大胸腺瘤手术,59岁福建阿伯重获新生
今年5月初
59岁的朱伯(化名)
发现身体长了一个巨大胸腺瘤
于是慕名从福建省
奔赴香港大学深圳医院求诊
医院外科部-胸外科迅速召集
心血管医学中心、麻醉医学部、肿瘤医学中心等
开展MDT多学科会诊
成功切除这个已经侵蚀到心脏的巨大肿瘤

罕见!胸腺瘤长到心脏里,辗转远道求医

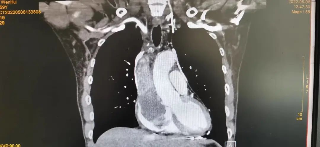
阴影处显示,肿瘤已侵蚀到上腔静脉及心脏
通过穿刺活检,朱伯被确诊为A型胸腺瘤,而且病情复杂,手术难度大、风险高。
朱伯的家属经过多方了解,获知港大深圳医院胸外科团队对复杂胸腺瘤治疗极其擅长,于是辗转联系到胸外科主任庞大志顾问医生,决定奔赴深圳看诊。
妙手!多学科联合,成功“拆弹”
朱伯很快从漳州来到深圳,住进了港大深圳医院胸外科,管床医生李敬龙安排了全面术前检查,检查结果与他在福建时的结论基本相同。
胸外科迅速召集心脏大血管外科、麻醉医学部、肿瘤医学中心、心血管综合内科开展MDT多学科会诊。

术前多学科会议讨论现场
尽管风险巨大,但手术是最有效的治疗手段,应尽快安排!5月11日,朱伯被送进了手术室。
麻醉完善后,打开患者的胸腔,与术前预计完全一致,肿瘤位于前上纵隔,且沿着大血管一路长到了心脏里。
前纵隔大血管密布,手术时稍不慎就可能造成致命性大出血,手术过程暗礁密布,异常艰难。

胸外科团队为患者实施手术
随后,心脏大血管外科医生建立体外循环,心血管医学中心主任魏民新教授切开上腔静脉及右心房,将心脏内的瘤栓及受侵的部分心房壁切除,再将左右无名静脉离断,完整移除整个肿瘤,最后用两根人工血管分别重建了左右无名静脉与右心房通道。
惊险的手术在几位专家妙手默契配合下成功完成;术后,朱伯在医护人员精心照料下,恢复非常顺利,近期准备出院。
警惕!胸腺瘤早期无症状,手术挑战性极高
胸腺瘤来源于胸腺上皮,是前纵隔常见肿瘤,早期并无症状,多数是体检时发现。当肿瘤生长到一定程度时,则可能出现胸痛、胸闷及咳嗽。
如果侵犯了无名静脉或上腔静脉,则可能出现上腔静脉梗阻综合征,表现为颜面部水肿、颈静脉怒张等症状。

朱伯案例中被切除的前纵隔侵袭性胸腺瘤,大小约8*20cm
业内专家认为,侵犯上腔静脉的恶性胸腺瘤的切除术因高难度高风险,是公认的胸外科领域内最具挑战性的手术之一,也是胸外科医生们孜孜以求的巅峰技艺之一。
朱伯所患的胸腺瘤在侵犯上腔静脉的基础上,肿瘤进一步侵犯到心脏,因需要更多的游离切除和更复杂的血管及心壁重建,手术变得愈加困难。
在全球范围内,有能力完成此类手术的医学中心十分罕见,目前仅有十余例类似病例见诸报道,国内仅有数例,广东省此前则未见报道。
该手术案例的成功离不开心血管医学中心、麻醉医学部、肿瘤医学中心等多科室的参与努力,充分体现了本院MDT多学科协作团队的实力,因为我院医疗团队的理念是“以患者为中心”,这也是作为高质量发展试点医院的重要方向。
——香港大学深圳医院助理院长、外科部副主任
在此之前,港大深圳医院胸外科团队已完成许多复杂纵隔肿瘤手术。
就在2个月前,医院多学科会诊为患者梁女士成功进行一例巨大纵隔肿瘤手术,其肿瘤大至25*15cm,几乎占据整个左侧胸腔,侵犯左肺上叶,经手术成功完整切除巨大肿瘤及左肺上叶,术后11天患者顺利出院。
微信公众号
智慧医院
© 2014 香港大学深圳医院 版权所有
备案号
粤ICP备13014042号-1



